さくら 様




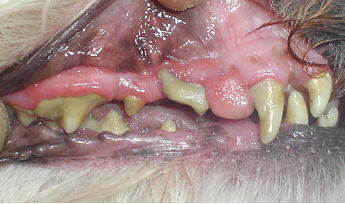
厚く硬い固着で慎重を究めましたが始終おとなしく良いコに頑張ってくれました。
ちょっとの合間をかいくぐって「抱っこ抱っこ」と飛びついてくる姿が堪らなく可愛らしかったです。
多くの歯牙が健常に保たれていました。